Triquinosis: cuáles son los síntomas y cómo evitar el contagio

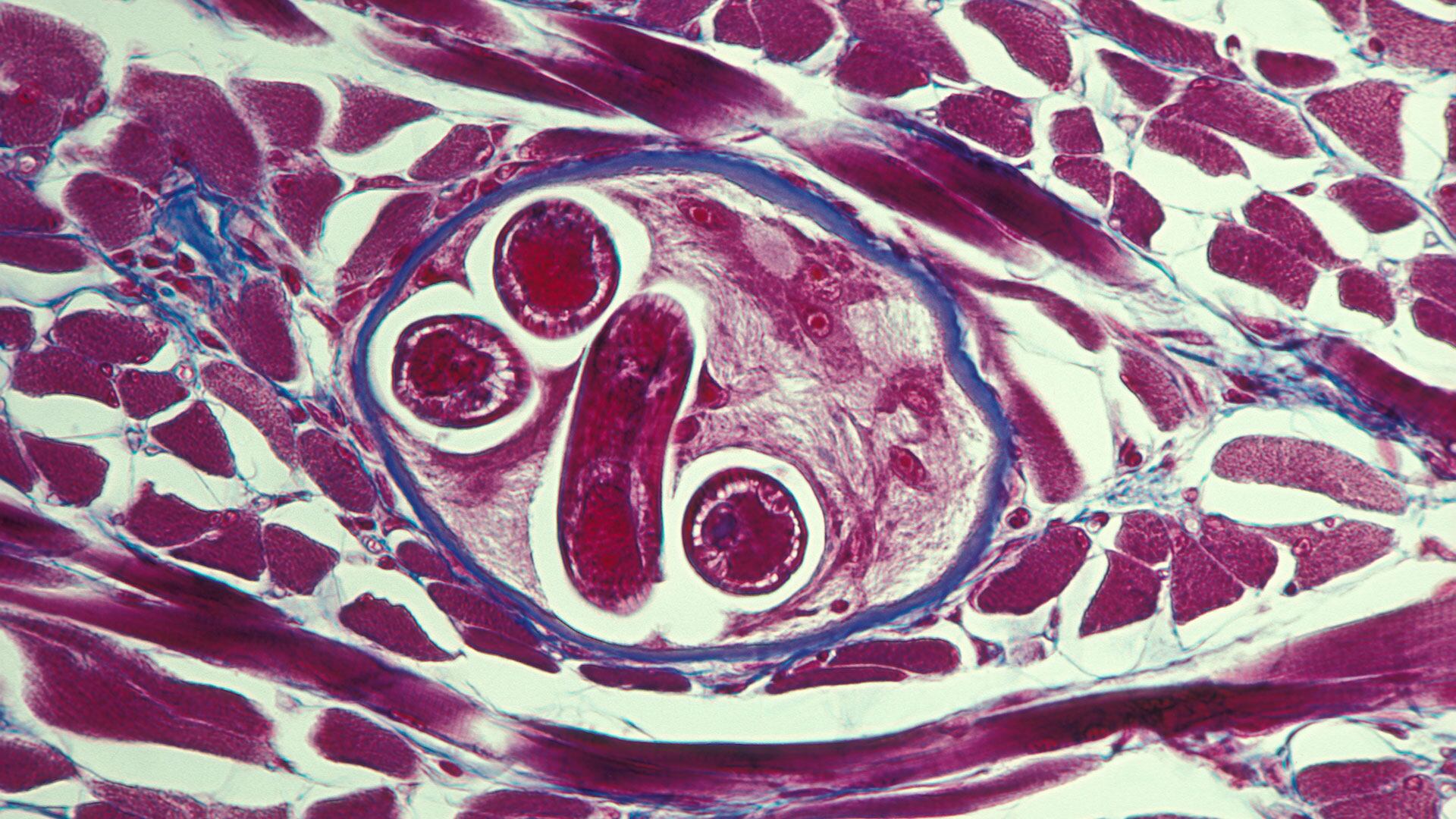
La triquinosis, o triquinelosis, es una enfermedad parasitaria originada por el consumo de carne de cerdo cruda o insuficientemente cocida, infectada con larvas del parásito Trichinella. Este parásito con forma de gusano se encuentra alojado en los músculos de los cerdos y algunos animales salvajes, según explica el Ministerio de Salud de la Nación.
Como informó Infobae ayer, se produjeron tres brotes de triquinosis vinculados al consumo productos de faena casera en la Provincia de Buenos Aires. El Ministerio de Salud bonaerense dijo a este medio que “el primer brote se registró el 23 de junio en la localidad de Juan Bautista Alberdi, partido de Leandro N. Alem. Se identificaron 15 personas con síntomas compatibles”. El segundo se produjo en Mar del Plata y fue detectado dos días más tarde. “Se trató de un evento familiar con consumo de chacinados caseros. Fueron identificadas hasta la fecha 12 personas expuestas, de los cuales tres presentaron síntomas”. El tercer episodio se desarrolló en la localidad de Quequén, partido de Necochea, el 28 de junio y se identificaron 42 personas expuestas, de las cuales 15 presentaron síntomas en un evento familiar.
El Servicio Nacional de Sanidad y Calidad Agroalimentaria (Senasa) precisó que esta zoonosis parasitaria se transmite de animales a personas. El parásito puede infectar mediante el consumo de carne insuficientemente cocida, principalmente de cerdo doméstico, aunque también a través de productos derivados de animales silvestres, como jabalíes y pumas.
Al consumir la carne infectada, las larvas se liberan en los intestinos, donde maduran y se reproducen. Las nuevas larvas pueden migrar a diferentes tejidos del cuerpo, causando inflamación y dolor muscular, entre otros síntomas.

Según el Senasa, “la principal fuente de infección de esta enfermedad para las personas son los cerdos domésticos, aunque también puede producirse por consumo de las otras especies”. Los animales criados para consumo bajo estrictos controles gubernamentales se consideran seguros, disminuyendo así el riesgo de contagio.
Reconocer los síntomas de la triquinosis y entender los modos de prevención resulta fundamental para reducir su incidencia, aclaró el organismo.
Cuáles son los síntomas de la triquinosis

Los signos y síntomas de la infección por triquinosis y la gravedad pueden variar. Esto depende de la cantidad de larvas consumidas en la carne infectada.
Al consumir carne infectada, los jugos digestivos disuelven los quistes, liberando las larvas. Estas atraviesan la pared del intestino delgado, transformándose en gusanos adultos que se aparean y luego migran por la sangre hacia los músculos, donde finalmente se alojan. Los síntomas digestivos, como diarrea, dolor abdominal, fatiga, náuseas y vómitos, pueden comenzar uno o dos días después de la infección.
A su vez, otros síntomas de la triquinosis incluyen:
- Molestia abdominal, espasmos
- Hinchazón facial alrededor de los ojos o en los párpados
- Picazón de piel
- Fiebre
- Dolor muscular (especialmente dolor muscular al respirar, masticar o al usar músculos largos)
- Debilidad muscular
- Dificultades motrices
En casos graves, la enfermedad puede causar dificultades respiratorias, problemas cardíacos y neurológicos.
Cómo prevenir la triquinosis

Según el Senasa, dado que la triquinosis no puede evidenciarse a simple vista —ni en el campo ni en los productos alimenticios derivados—, el conocimiento de las medidas preventivas por parte de quienes producen como de quienes consumen estos alimentos, resulta clave.
El Ministerio de Salud aconseja varias medidas para evitar la triquinosis. De acuerdo a sus lineamientos, es crucial consumir carne de cerdo bien cocida hasta que desaparezca el color rosado, asegurándose de que la temperatura interna alcance al menos 71 grados Celsius (160 grados Fahrenheit) durante al menos un minuto. Esto implica que procesos como salar o ahumar la carne no son suficientes para eliminar el peligro de parásitos.
A su vez, enfatiza en la necesidad de adquirir productos derivados de cerdo únicamente en establecimientos autorizados. Al comprar estos productos, es vital verificar que las etiquetas especifican la marca, identificación del lote, fecha de elaboración y vencimiento, junto con la identificación del establecimiento elaborador y su registro ante la autoridad sanitaria.

“La venta ambulante de estos alimentos está prohibida”, suma el informe de la autoridad sanitaria, refiriéndose a embutidos como jamón, panceta, longaniza y chorizos.
Además, el Ministerio recomienda revisar detenidamente que los productos alimenticios tengan registros nacionales de establecimientos (RNE) y registros nacionales de productos alimenticios (RNPA). Esta comprobación garantiza que la carne y sus derivados han sido procesados siguiendo normativas de salubridad.
En cuanto a la producción, la autoridad sanitaria enfatiza la necesidad de realizar controles veterinarios periódicos en las granjas porcinas. Las medidas incluyen la supervisión de la alimentación de los cerdos, evitar el consumo de restos de alimentos crudos o mal cocidos, y la implementación de buenas prácticas de higiene en las instalaciones.
Otro de los puntos importantes es que los productores deben garantizar que los cerdos no tengan acceso a roedores, principales vectores de la triquinosis.



